נקבע מותו של הנער מידן (מרדכי) קלר ברוך בן ה-16 שאושפז על פי החשד לאחר שימוש בסיגריות אלקטרוניות

$(function(){ScheduleRotate([[function() {setImageBanner('001506e3-5849-4a8b-a141-e0157fc82298','/dyncontent/2025/2/25/4951bead-7512-441f-9887-e771f8573cd1.jpg',19117,'דיוואן אייטם כתבה ',525,78,true,26366,'Image','');},15],[function() {setImageBanner('001506e3-5849-4a8b-a141-e0157fc82298','/dyncontent/2025/12/7/34ddb72a-36fb-4f68-beac-0525c579f18a.jpg',20451,'עמרם אברהם אייטם כתבה ',525,78,true,26366,'Image','');},15],[function() {setImageBanner('001506e3-5849-4a8b-a141-e0157fc82298','/dyncontent/2025/11/25/11cbb0a5-aaa0-4313-b88d-38d8b1c9f813.gif',20479,'קרייזי רום אייטם כתבה ',525,78,true,26366,'Image','');},15],[function() {setImageBanner('001506e3-5849-4a8b-a141-e0157fc82298','/dyncontent/2021/3/2/e3734725-fab6-4916-8f0d-e8c6cd074b39.gif',12348,'איווה אייטם כתבה ',525,78,true,26366,'Image','');},15]]);})
להאזנה לתוכן:

מידן נער בן 16 תושב גדרה למד בכיתה י' בכפר הנוער החקלאי עיינות. הוא היה ספורטאי והתאמן בג'ו ג'יטסו ובאמנויות לחימה משולבות (MMA). לפני כשבועיים אושפז בבית החולים קפלן וביום חמישי האחרון הועבר לבית החולים שניידר שם חובר לאקמו. הוא הותיר במותו הורים, ריני ויריב, ושלושה אחים.

בית החולים מסר הבוקר: "בצער רב, אנו מעדכנים על פטירתו של הנער בן ה-16 שטופל ביחידה לטיפול נמרץ לב במרכז שניידר וחובר למערכת האקמו בשל קריסה של ריאותיו, לאחר שימוש בסיגריות. מפרטים ראשונים עולה כי הנער נפטר לאחר שככל הנראה ניתק עצמו מהאקמו מסיבה לא ברורה. פרטי המקרה דווחו למשרד הבריאות, נבדקים בשעה זו וייחקרו בימים הקרובים".

אמש (יום ו') בשעה 23:00 לערך לפני חצות החלה הדרמה במרכז הרפואי שניידר בפתח תקווה שבסופה נקבע מותו של הנער מידן (מרדכי) קלר ברוך בן ה-16 שלפי טענת בית בחולים ניתק עצמו ממכונת הלב ריאה (אקמו).

"הלכתי להביא אוכל ועשיתי איתו שיחת וידאו", סיפר האב יריב קלר. "בזמן שהלכתי, הוא רצה שירותים. ניתקתי את השיחה כדי שיעשה ואחרי דקה או שתיים שמעתי צעקות וראיתי שעושים החייאה. כל הצוות רץ לשם". 

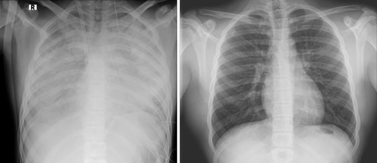
בתמונה: מימין צילום ריאות תקין, משמאל ריאותיו של הנערנער בן 16 אושפז במרכז שניידר במצב קשה עם קריסה של הריאות לאחר שימוש בסיגריות אלקטרוניות. הנער הובהל ליחידה לטיפול נמרץ לב, שם הוא מאושפז בהכרה ומחובר למערכת האקמו, המחליפה את פעילות הלב והריאות - כך מפרסמים הבוקר כתבי אתר ויינט, רענן בן צור וגד ליאור.

אמו של הנער מסרה כי היא מבקשת להתפלל לשלומו ומייחלת לכך שיתאושש ויחזור לעצמו. היא ביקשה מכל ההורים להיות עירניים לנושא ולאסור על ילדיהם להשתמש בסיגריות אלקטרוניות, כדי שלא להגיע למצב הנוראי בו הם נמצאים כרגע.

הנער הועבר למרכז שניידר מבית החולים קפלן, לאחר שריאותיו קרסו. מבירור רפואי מקיף שערכו בבית החולים קפלן עלה כי מצבו הידרדר כתוצאה מעישון של סיגריות אלקטרוניות.

פרופ' עובדי דגן, מנהל היחידה לטיפול נמרץ לב בשניידר, מסר: "הנער התקבל ליחידה לטיפול נמרץ לב במצב קשה מאד כשריאותיו אינן מתפקדות, והוא זקוק לתמיכה מלאה של מכשיר אקמו. אנו מטפלים בו ומקווים מאוד לשיפור במצבו בימים הקרובים. הנזק שנגרם, ככל הנראה, מעישון של הסיגריות האלקטרוניות הוא נזק עצום. אנו קוראים לכל ההורים, מנעו את המקרה הבא".
.
מידן מרדכי קלר ז"ל

מהאגודה למלחמה בסרטן נמסר: "אנו משתתפים בצער הרב על מותו בטרם עת של מידן מרדכי קלר ומוסרים תנחומים למשפחה באבלם הכבד. אנו שולחים חיבוק של אהדה לבני משפחתו נוכח הכאב הנורא".

הם הוסיפו כי "שימוש בסיגריות אלקטרוניות היא תופעה מדאיגה שהפכה לנפוצה בקרב ילדים ובני נוער בארץ, וחשוב שההורים וקובעי המדיניות בישראל ידעו את האמת המדעית מאחורי המוצר המסוכן אשר גורם לתלות פיזית ונפשית.

האב מסר"כל הילדים מעשנים. לצערי, הסיגריה האלקטרונית נגישה להם. זה זמין, זה נראה שטויות, לא כמו סיגריה אמיתית. כהורים היינו מעורבים בחיים של מידן, אבל אין שליטה. אפשר לחנך אבל קשה למנוע את הסיגריות". לאב יש מסר להורים ולילדיהם: :להתרחק מסיגריה אלקטרונית כמו מאש, באמריקה יש עשרות מקרים של קריסת ריאות".

אמו של הנער ריני מוטט ברוך ספדה לו בפוסט בפייסבוק: "ה' נתן, ה' לקח, יהי שם ה' מבורך. מידן שלנו הלך לעולמו אתמול בלילה. הילד היפה שלי, הסנדוויץ' שוקולד שלי, החיים שלי, איננו עוד איתנו".

$(function(){ScheduleRotate([[function() {setImageBanner('7e40bbc8-b3ce-46b2-ad84-d283c9dce88c','/dyncontent/2025/12/13/bca9799e-12b7-404d-bded-03bb18968135.jpg',20542,'צרפתי אייטם כתבה ',525,78,true,26367,'Image','');},15],[function() {setImageBanner('7e40bbc8-b3ce-46b2-ad84-d283c9dce88c','/dyncontent/2021/3/2/e3734725-fab6-4916-8f0d-e8c6cd074b39.gif',12348,'איווה אייטם כתבה ',525,78,true,26367,'Image','');},15]]);})
 
 
pikud horef
פיקוד העורף התרעה במרחב אשדוד 271, אשדוד 271, אשדוד 271
פיקוד העורף מזכיר: יש לחכות 10 דקות במרחב המוגן לפני שיוצאים החוצה